Răng Sứ Cho Răng Thưa Vĩnh Long | Khắc Phục Hiệu Quả, Tự Tin Tỏa Sáng | Smile Dental
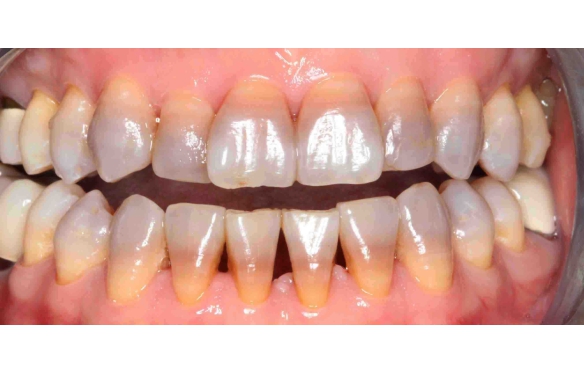
Răng thưa khiến bạn mất tự tin? Nha khoa Smile Dental cung cấp giải pháp răng sứ cho răng thưa tại Vĩnh LongRăng thưa khiến bạn mất tự tin? Nha khoa Smile Dental cung cấp giải pháp răng sứ cho răng thưa tại Kiên Giang, mang lại nụ cười đều đẹp, tự tin. Liên hệ tư vấn ngay! mang lại nụ cười đều đẹp, tự tin. Liên hệ tư vấn ngay!
Đọc thêm