Giải Quyết Tình Trạng Hôi Miệng, Chảy Máu Sau Khi Bọc Răng Sứ
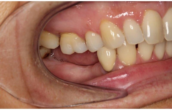
Sau khi bọc răng sứ, một số người gặp tình trạng hôi miệng và chảy máu nướu. Làm thế nào để giải quyết những vấn đề này? Bài viết này từ Nha Khoa Smile sẽ giúp bạn tìm hiểu nguyên nhân và đưa ra giải pháp hiệu quả để bảo vệ sức khỏe răng miệng sau khi bọc răng sứ.
Đọc thêm