Vật Liệu Sứ Cao Cấp: Ưu Điểm & Ứng Dụng tại Nha Khoa Smile
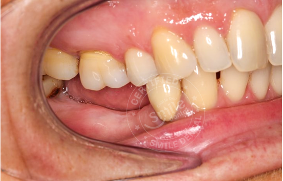
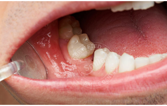
Tại Nha Khoa Smile, chúng tôi luôn tự hào cung cấp các dòng sứ cao cấp nhất, mang lại sự hài lòng và tin tưởng tuyệt đối cho khách hàng. Các dòng sứ cao cấp mà chúng tôi sử dụng đều được chọn lựa kỹ càng từ các thương hiệu uy tín, đảm bảo chất lượng vượt trội, thẩm mỹ cao và độ bền lâu dài. Dưới đây là những dòng sứ cao cấp hiện có tại Nha Khoa Smile: Sứ toàn khối Full Contour, sứ Orodent, sứ Lava, sứ Cercon, sứ DDBio...
Đọc thêm