Răng Khấp Khểnh: Nguyên Nhân, Ảnh Hưởng & Giải Pháp Hiệu Quả
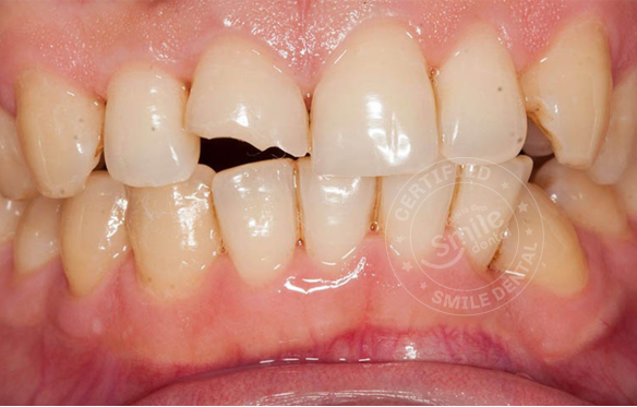
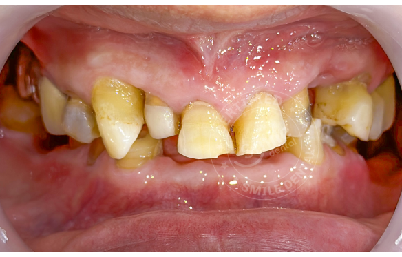
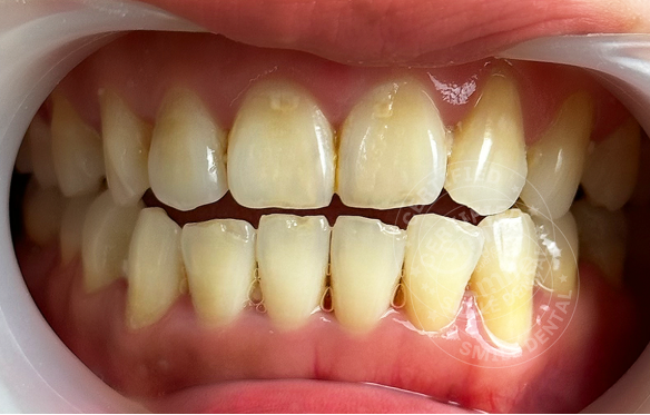
Răng khấp khểnh là tình trạng mà các răng không nằm đúng vị trí hoặc không thẳng hàng trong hàm. Thay vì xếp đều và theo một hàng thẳng, các răng có thể bị lệch, nghiêng, hoặc xô lệch, tạo nên một cấu trúc không đều đặn. Đây là một vấn đề phổ biến trong chỉnh nha và có thể ảnh hưởng đến cả chức năng và thẩm mỹ của hàm răng.
Đọc thêm