Răng Bị Thưa, Hở Kẽ
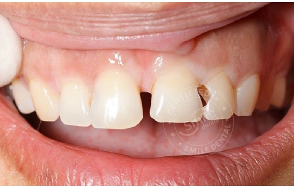
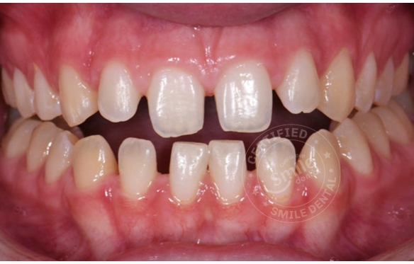
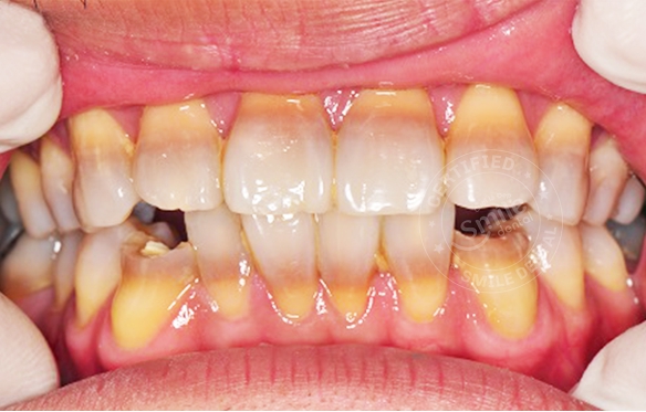
Răng Bị Thưa, Hở Kẽ Là Gì? Răng bị thưa, hở kẽ là tình trạng xuất hiện khoảng trống giữa các răng, khiến hàm răng không đều, thiếu thẩm mỹ. Đây là vấn đề phổ biến, ảnh hưởng đến nhiều người, gây ra nhiều phiền toái trong cuộc sống hàng ngày. Cùng tìm hiểu những nguyên nhân, hậu quả và giải pháp điều trị tại nha khoa Smile.
Đọc thêm